ניצל בנס

הוריו של פעוט בן 9 חודשים הבחינו שהוא משתנק ומקיא דם. הם מיהרו איתו לבית החולים, שם התעקשה רופאת הילדים על בדיקה שאפשרה לאתר גוף זר שככל הנראה הוא בלע. בבדיקה התגלה מתקן מתכתי חד שחסם את דרכי הנשימה שלו וסיכן את חייו | למרבה המזל, הצוות הצליח לשלוף אותו בחדר ניתוח וחייו של הפעוט ניצלו

תמר ויחיאל מבית שמש, הורים לשבעה, הגיעו לאחרונה עם הצעיר שבילדיהם, זאב, פעוט בן 9 חודשים, אל חדר המיון בהדסה עין כרם, אחרי שהבחינו כי הוא מקיא דם ומשתנק.

"היה מאוחר בערב, וזאב התעורר מהשינה בעגלה, ואחת הבנות שלי העבירה אותו מהעגלה למיטה שלו", משחזרת האם תמר. "הייתי בחדר אחר, ולפתע שמעתי אותו משתעל ונחנק. רצתי אליו והרמתי אותו והבנתי שמשהו לא תקין. הוא התחיל להשתנק ולנסות להקיא, ולבסוף הקיא רוק ודם, מה שהבהיל אותי מאוד. בעלי בדרך כלל הולך לתפילה בבית הכנסת בלי הטלפון, אבל בדרך נס הוא היה עם הטלפון, התקשרתי אליו וביקשתי שיחזור מהר, ובינתיים יצאתי עם זאב החוצה כדי שיוכל לנשום אוויר".

המודאגים שראו את הדם בשיעול פנו מיד לסניף מד"א הקרוב לביתם, ומשם המשיכו למוקד בטרם. גם במד"א וגם בטרם זאב היה נראה במצב טוב, ללא מצוקה נשימתית, אך תמר עדיין הייתה חסרת מנוחה. במוקד טרם המליצו לה לפנות למיון, כיוון ששם יש כלים מתאימים לבדיקת תינוק בגיל הזה.

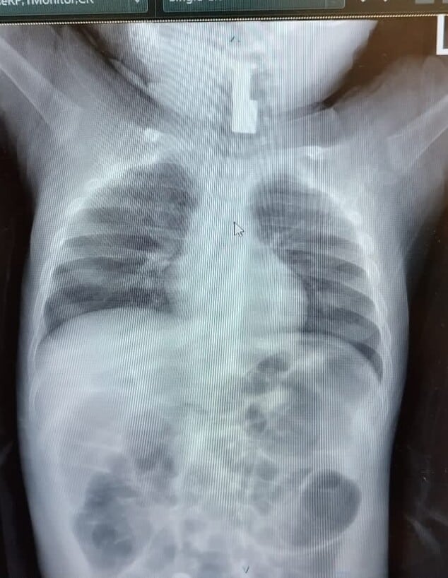
צילום של החפץ | צילום: הדסה

אם הילד:

"הייתי בחדר אחר, ולפתע שמעתי אותו משתעל ונחנק. רצתי אליו והרמתי אותו והבנתי שמשהו לא תקין. הוא התחיל להשתנק ולנסות להקיא, ולבסוף הקיא רוק ודם, מה שהבהיל אותי מאוד"

מעט לפני חצות, ההורים המודאגים הגיעו למיון ילדים בהדסה עין כרם. שם עבר זאב בדיקות מקיפות על ידי צוות המחלקה, אך לא נמצא בהן משהו חריג. בשלב זה, ניגשה אליהם רופאת הילדים ד"ר רבקה גלעד, והציעה לבצע לזאב צילום חזה, כדי להשלים את מכלול הבדיקות הרפואיות ולהרגיע את ההורים המודאגים. "כשקיבלתי את תוצאות הצילום הייתי מופתעת בעצמי", מספרת הד"ר. "התינוק היה כל כך חיוני, וממש לא ציפיתי לראות גוף זר, וודאי שלא כזה גדול". לדבריה, ההחלטה להפנות אותו לצילום נקבעה על סמך רצונה למצות את כלל הבדיקות הנגישות. "המחשבה על מה שהיה יכול לקרות אם לא היינו עושים צילום, מטלטלת אותי בכל פעם שאני חושבת על המקרה", היא אומרת.

לאחר הממצא המפתיע, התקשרה מייד הרופאה לד"ר אחמד סיאג', רופא אא"ג, שחבר אליה לטיפול בתינוק. הוא זיהה בצילום גוף זר במרקם מתכתי, והחדיר לזאב מצלמה זעירה דרך האף לכיוון הגרון. שם, הוא הבחין במשהו בוהק שמסתיר את מיתרי הקול. "לא יכולתי לראות את דרכי הנשימה של התינוק, והבנתי שהוא במצב מסכן חיים", הוא מספר. ד"ר סיאג' התקשר לצוות חדרי הניתוח והורה להם להכין את החדר באופן מיידי. "הבהלנו את התינוק אל חדר הניתוח, שם המרדימים הרדימו אותו באמצעות מסיכת חמצן. בהליך רגיש ועדין הורמה הלשון של זאב ושלפתי בזהירות יתירה את הגוף הזר, על מנת שחלילה לא אגרום לדחיפתו פנימה יותר".

הרופאים ביצעו לזאב צילום חזה נוסף כדי לראות אם הגוף הזר השאיר נזקים בוושט, ולמזלו הגדול, מלבד פצעים קטנים – הוא יצא בריא ושלם. חום גופו היה תקין והוא חזר לישון ולינוק. זאב נשאר להשגחה למשך הלילה והשתחרר בבוקר שלמוחרת, כשהוא רגוע ומחייך.

"הצוות ליווה, הסביר והרגיע אותנו לאורך כל הלילה", מספרת תמר. "אפילו לא הספקתי להגיד לרופאים תודה על זה שהם הצילו את הבן שלי".

אחרי שהשתחרר מבית החולים, ניסו תמר ויחיאל מהו אותו גוף זר שבלע זאב ומהיכן הגיע, כיוון שהוא הרי היה בעגלה שלו באותם הרגעים שבהם השתנק. לפתע תמר נזכרה שבנה בן החמש שיחק עם חלק שמצא בתוך פעמון צעצוע, שהיה בתוך משחק קופסה. למרות אזהרות מצדה, הסתבר שהוא נתן לזאב לשחק עם החלק הזה.

חשוב להיות ערניים

"היום בן החמש שלנו זהיר הרבה יותר. חשוב להיות ערניים, בייחוד כשיש כמה ילדים בבית והקטנים עלולים לשחק עם משחקים שלא לגילם. למזלנו, הייתה לנו שרשרת גדולה של ניסים ושליחים טובים בבית החולים הדסה, והרבה עזרה מהשמיים, ואנחנו שמחים מאוד לחזור לשגרה בטוחה אחרי הלילה מורט העצבים שעברנו", מסכמים ההורים בהקלה.

החלק המתכתי שנמצא | צילום: הדסה

"לא יכולתי לראות את דרכי הנשימה של התינוק, והבנתי שהוא במצב מסכן חיים", הוא מספר. ד"ר סיאג' התקשר לצוות חדרי הניתוח והורה להם להכין את החדר באופן מידי. "הבהלנו את התינוק אל חדר הניתוח, שם המרדימים הרדימו אותו באמצעות מסיכת חמצן. בהליך רגיש ועדין הורמה הלשון של זאב ושלפתי בזהירות יתירה את הגוף הזר"

בעקבות המקרה המסוכן, גם ד"ר גלעד מבקשת להדגיש את אמצעי הזהירות הנדרשים בעת טיפול בתינוקות: ״גם הורים מנוסים שמכירים את ילדיהם צריכים לנקוט משנה זהירות ולהקפיד על תשומת לב מוגברת כאשר מדובר בתינוקות. חשוב למנוע כל קרבה שלהם לחלקים קטנים של צעצועים או חפצים אחרים. נדרשת הקפדה יוצאת דופן כדי למנוע מקרים כאלה, כיוון שתוצאות הבליעה עלולות להיות הרות אסון. מובן שגם אם נזהרים ומקפידים על הכללים, אך עדיין מבחינים בהשתנקות יוצאת דופן או בניסיון להקיא עצם כלשהו, או בשינוי התנהגותי שמעיד על מצוקה מסוימת – יש לגשת לבדיקה רפואית באופן מידי".

כתיבת תגובה

האימייל לא יוצג באתר. שדות החובה מסומנים *

עוד כתבות שאולי יעניינו אותך:

מדד הנדל"ן 2026: רמת בית שמש א' – עוגן של יציבות בלב השוק הסוער

תרומה מצילה חיים

30 מזרקי אפיפן המסייעים לאלרגיה קשה, נתרמו לאחרונה לסניף איחוד הצלה ברמת בית שמש

מזל טוב למעיין

מעיין דנין המהממת שבתמונה, חגגה את יום הולדתה. לכלוכית יודעת שאנחנו בתקופה מורכבת, ועדיין אני מפנה זמן לאחל לך שהשנה תמשיך הרבה יותר בטוב

האישה הבינלאומית

עיריית בית שמש החליטה להכריז השבוע על גיבורת יום האישה הבינלאומי והיא: דנית זגורי

מפגש חוסן

מתנדבי איחוד הצלה שטיפלו לאחרונה בזירת הנפילה בעיר, התכנסו השבוע, עיבדו יחד את המראות הקשים שראו וקיבלו הדרכה והכלים איך להתמודד עם האירועים הטראומטיים האלו

לעילוי נשמתה

חבריה הצעירים של טליה אבוטבול ז"ל שנפטרה לאחרונה ממחלה קשה, יצאו במבצע התרמה לפני החג הפסח

עד 120

תושב העיר האלוף, סימוני אסרף המוכר לתושבי העיר כמי שפעיל צמוד של ראש הממשלה, חגג השבוע את יום הולדתו

רגע מרגש

הזמר יגל אושרי התותח, הגיע להופעה מיוחדת ומשמחת בבית המלון "לאונרדו" שם נמצאות המשפחות המפונות שנפגעו מהטיל האיראני בעיר

הלוחמים בחזית האסון

עשרות לוחמי אש הגיעו לאסון הגדול שידעה בית שמש בשנים האחרונות בשכונה הוותיקה, וסייעו בחילוץ פצועים, איתור נעדרים והכל למען קידוש שם שמיים והצלת נפשות | השבוע אנחנו מביאים את קולות הלוחמים, שנחשפו למראות הקשים וסייעו לפנות פצועים, נרצחים וטיהור הזירה

ביקור ממלכתי: נתניהו ביקר את פנינה כהן בביה"ח

ראש הממשלה הגיע לבקר את פצועי נפילת הטיל בבית שמש בהדסה עין כרם | על הפרק: פגש את פנינה כהן ובנה שנפגעו באסון ועם אורפז אפריאט שהובהלה לחדר לידה בעקבות ההדף

ישיבת אמית נחשון: הקימו חמ"ל למען נפגעי הטיל האיראני

בזמן שהעיר מנסה להתאושש מנפילת הטיל האיראני בעיר, תלמידי השמינית של ישיבת אמית נחשון החליטו לצאת עם יוזמה | על הפרק: מגייסים מוצרי חשמל ומאמצים את המשפחות שאיבדו את עולמן ברגע כדי לסייע להם ברגעים הקשים

הממשלה על האסון: "אנחנו מחויבים לעזור לתושבים שנפגעו"

אחרי פגיעת הטיל האיראני בעיר, הגיעו יום אחרי יום חברי כנסת מהממשלה, ראש הממשלה, מנכ״ל הפדרציה היהודית של ניו יורק בישראל ובכירים נוספים למקום הפגיעה | המטרה: לראות את גודל האסון, לנחם את המשפחות שנפגעו ולהצהיר על הרצון לסייע בכל מה שאפשר

המתכון של השף: חלה לשבת בעשר דקות

הגיע הזמן שתכינו חלה בעצמכם, והפעם מתכון שיעזור לכם להכין אחת ב-10 דקות | תחשבו שזו תהיה החלה שלכם שתככב בשולחן, ואם כבר – אולי תעשו גם הפרשת חלה? תיהנו ושבת שלום!

המתכון של אושרת: חמאת שום קונפי וגרידת לימון

תקשיבו שזו חמאה כל כך קלה להכנה, והיא יכולה להספיק לכמות גדולה של אורחים | גם אם בא לכם להקפיא אחר כך את מה שיצא ולהוציא כמה דקות לפני האירוח – עדיין יוצא טעים ומעדן לצד לחם טוסט | שדרוג מעולה לארוחה

נפילה במקום רגיש סמוך לבית שמש

השבוע לא נשמעה אזעקה, אך נשמעה והורגשה נפילה חזקה באזור בית שמש | לפי בדיקה שמערכת "שוס הדרך" ביצעה מדובר במיקום אסטרטגי באזור מטה יהודה, שאליו כוונו את הטיל בכוונה

עוזרים לשקם את משפחת כהן

קמפיין גיוס המונים יצא לאחרונה לאור כדי לעזור למשפחת כהן שאיבדה את הבן והאם בפגיעת הטיל האיראני בשכונה הוותיקה | המשפחה כתבה בקמפיין: "עם ישראל היקר, יצאנו למסע תמיכה ועזרה מידית לפנינה וארבעת ילדי משפחת כהן שאיבדו את אביהם ואת סבתם"

אליאור אלימלך על אימו: "אמא שלי נרצחה באכזריות"

אליאור אלימלך, בנה של שרה ז"ל ואח של רונית ז"ל שנרצחו שתיהן באסון הגדול בבית שמש בעת נפיל הטיל האיראני, כתב כמה מילות פרידה ברשת החברתית ונפרד מאמא שהייתה עבורו עולם ומלואו, "מעולם לא חשבתי שאהיה בן למשפחה שכולה", כתב

העיר הוותיקה: מקלטים ישופצו בסיוע הסוכנות היהודית

אחרי נפילת הטיל בשכונה הוותיקה, הסוכנות היהודית החליטה להתגייס ולעזור בחיזוק ושיקוף המקלטים בעיר הוותיקה שלא היו שמישים | גרינברג אמר: "אני מודה לסוכנות היהודית על שיתוף הפעולה"